Müsinöz Kistadenoma Nedir ve Neden Oluşur?
Müsinöz kistadenomalar yapışkan, kalın jelatin bir materyalle doludurlar. Seröz kistadenomalara benzer şekilde müsinöz tümörler epitel hücrelerinin (çölemik epitel) anormal gelişiminin sonucu olarak ortaya çıkarlar. Büyük çoğunluğu 6 ila 12 cm çapındadırlar. Bununla beraber 10-15 kg ağırlığında tümör olguları mevcuttur. Birçok müsinöz kistadenoma iyi huyludur ve sadece bir kısmı iki taraflıdır. Müsinöz kistadenomalar yumurtalığın en sık ikinci epitelyal tümörüdür.
Kimleri Etkiler?
Müsinöz kistadenomaların büyük çoğunluğu 30 ila 50 yaşlar arasındaki kadınlarda ortaya çıkar. Kötü huylu olma oranları %15 ile seröz kistadenomalardan daha düşüktür. Bununla beraber seröz kistadenomayla ilişkili kanser önlemleri burada da uygulanmalıdır.
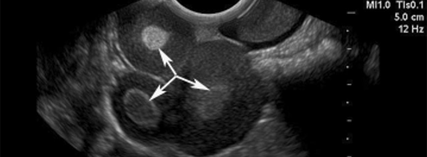
Nasıl Tespit Edilebilir?
Seröz kistadenoma için kullanılan benzer tespit yöntemleri müsinöz kistadenoma için de kullanılır. Birçok müsinöz kistadenoma sıklıkla rutin fizik muayenede veya karında şişlik nedeniyle yapılan ultrasonografide tespit edilir.
Müsinöz Kistadenoma Nasıl Yönetilebilir?
Cerrahi, bir tedavi seçeneğidir. Genç hastalarda doğurganlık düşünüldüğünde, kist büyük değilse, sadece kistin çıkartılması yapılabilir. Seröz kistadenomalarla karşılaştırıldığında müsinöz kistadenomalar daha düşük iki taraflı olma ve kanserleşme olasılığına sahiptir.